tel 050-1726-2990

〒606-0018京都府 京都市 左京区
岩倉中河原町193

ご予約はこちら

MENU

月・火・水・金・土

09:15〜13:00(最終受付12:00)
14:30〜18:15(最終受付17:45)

※祝日のある週の木曜日は8:45〜12:30(最終受付12:00)になります。 土曜日の診療時間は8:45〜17:00(最終受付16:30)になります。 宜しくお願い致します。
休診日
木・日・祝

ここには、自己紹介やサイトの紹介、あるいはクレジットの類を書くと良いでしょう。

住所
123 Main Street
New York, NY 10001

営業時間
月〜金: 9:00 AM – 5:00 PM
土日: 11:00 AM – 3:00 PM


京都市左京区岩倉の歯医者「金田歯科医院」木野駅徒歩5分です。

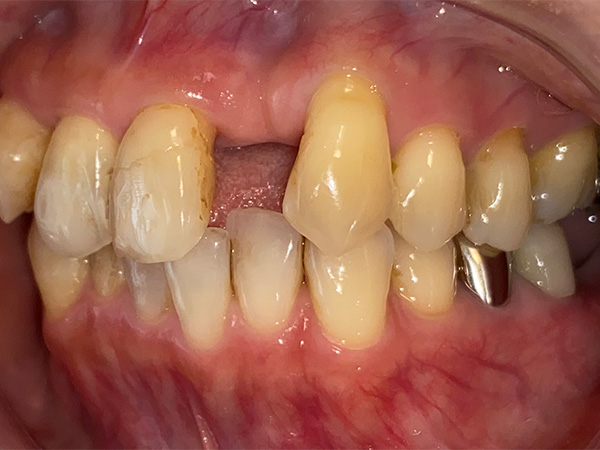
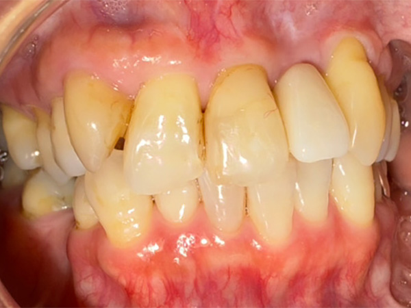
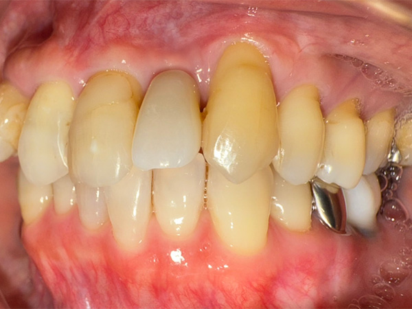
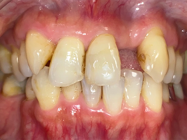
インプラント症例その1

術前

術後

術前

術後

① 年齢層(一般的傾向) 60代
② 性別 女性
③ 主な主訴(受診理由の例)
  • 歯を失ったため噛みにくい
  • 自分の歯と同じように噛みたい
  • 入れ歯が合わない
  • 入れ歯が嫌、入れたくない
  • 見た目が気になる
  • 入れ歯、ブリッジ以外の方法を検討したい
  • 事故で前歯が無くなったので、見た目を回復したい
※最適な治療法は個々の状況により異なります。
④ 治療内容(一般的な流れ)
  1. 診査・診断(問診、視診、口腔内診査、レントゲン、CT等)
  2. 治療計画の説明
  3. インプラントガイドの指摘、口腔内清掃
  4. 局所麻酔下でのインプラント体埋入手術(一次オペ)
  5. 治癒期間(数か月)
  6. 二次オペ(局所麻酔下で、歯肉を切開してインプラント体にヒーリングアバットメントと呼ばれるキャップをセットする治療。この治療をすることでインプラント体に人工歯をつけることができる。一次オペでインプラント体と骨がしっかりと固定できていれば、一次オペと同時にすることもある治療)
  7. 治癒期間(1ヶ月から2ヶ月)
  8. 人工歯作成のための印象採得
  9. 人工歯装着
  10. 約1週間後に噛み合わせのチェック
  11. 定期的なメンテナンス
※骨量が不足している場合はインプラント体を埋入する際に同時に骨造成をしたり、埋入する前に骨造成等の処置を行うことがあります。
※治療内容は症例により異なります。
⑤ 治療期間
  • 数か月~1年程度が一般的です。
  • 骨の状態や治療内容による個人差があります。
⑥ 通院回数
  • 患者様の状況により異なります。
  • 数回~十数回程度が目安となる場合があります。
⑦ 費用について インプラント治療は原則として「自由診療(保険適用外)」です。
費用は医療機関により異なりますが、1本あたり数十万円程度となる場合があります。
費用には以下が含まれることがあります。
  • 診査・診断料
  • 手術費用
  • インプラント体
  • アバットメント
  • 上部構造(人工歯)
  • 必要に応じた追加処置費用
※詳細は各医療機関へご確認ください。
⑧ リスク・副作用 外科手術を伴うため、以下の可能性があります。
  • 術後の腫れ、痛み、内出血
  • 術後の出血
  • 神経損傷によるしびれ
  • 上顎洞への影響
  • 感染
  • インプラント周囲炎
  • 上部構造の破損や脱離
また、全身状態(糖尿病、喫煙習慣など)により治療の可否や経過に影響する場合があります。
Optimized with PageSpeed Ninja